Casanova (Sans Affixe)
mâle
Cane Corso
né le
12/09/2013

14 mois
14 mois
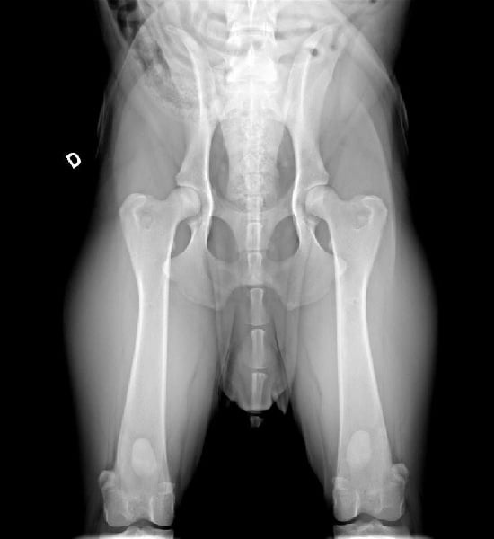
Radiographie des hanches (Dr Haudiquet)
Casanova est un jeune chien bien construit, avec une ossature correct, une tête typique et avec un potentiel génétique très intéressant. Radiographié HD A/B par le spécialiste Dr Haudiquet.
Il est disponible pour saillie à l'élevage pour une période limitée et sous certaines conditions.
Il est la propriété de Jennifer Coughlin (USA).
Il est disponible pour saillie à l'élevage pour une période limitée et sous certaines conditions.
Il est la propriété de Jennifer Coughlin (USA).
Informations sur Casanova (Sans Affixe)
| Sexe | Mâle |
| Couleur | Gris |
| Puce | 38026004089.... |
| Inscrit au LOF ? | Italie |
| N° origine | / |
| Adn | en cours |
| Tares |
DSRA : N/N Clear Dysplasie des hanches : A/B |

